Coronas y Puentes
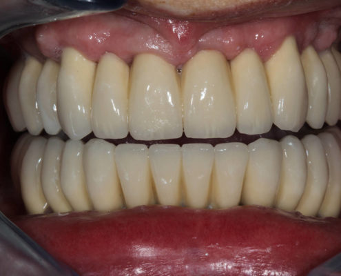
Prótesis Hibridas
Todas nuestras estructuras son pasivas (el laboratorio dispone de soldadura laser).
Las pruebas se envían con una llave de verificación de la situación del abutment.
Nuestros clientes pueden elegir entre estructuras: fresadas, sinterizadas o sinterizadas
con la base mecanizada.
El laboratorio ofrece a sus clientes abutments de circonio de alta calidad (marca degudent) diseñadas y fresadas con equipos propios.









